Dental Implants in Brighton & Hove
Regain Confidence in Eating, Speaking, and Smiling
Experience the transformative power of dental implant tooth replacement at one of the most advanced and highly recognised dental implant clinics in Sussex. Our establishment is dedicated to restoring your smile with exceptional precision and care. Through the application of cutting-edge technology and a patient-centred approach, we enable you to eat, speak, and smile once again with complete confidence.
Being Consultant led, provides absolute assurance you are in the very best of care. An industry specialist, leader, lecturer, and instructor, Mr Sami Stagnell is celebrated for employing cutting-edge dental technology to precisely plan and place dental implants—ensuring a more comfortable quicker healing experience for our patients.
Dentists are the main caregivers for oral health. However, oral surgeons are specialists.
Understanding the differences in their education, training, and experience can help you make an informed decision.

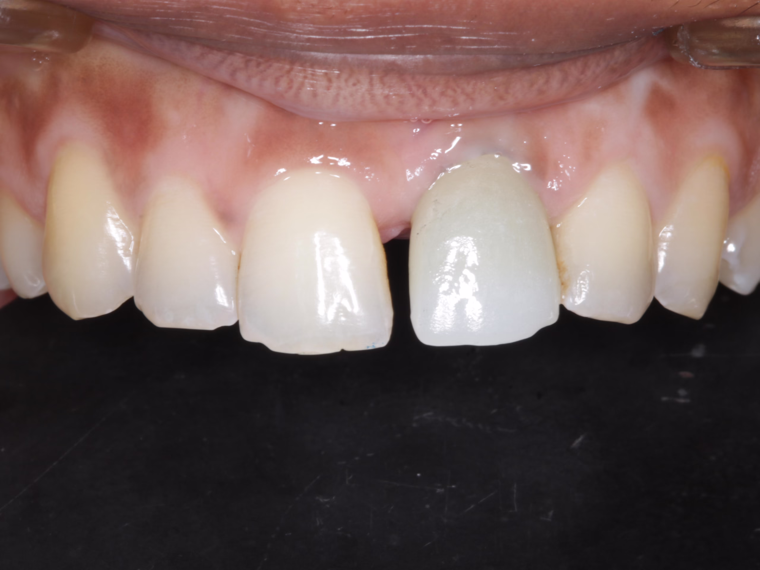
Why replace missing teeth?
Leaving gaps can result in poor alignment of the teeth leading to difficulty eating, bite changes, bone loss, gum disease, gum recession and increased difficulty cleaning these areas.
Dental Implants help to retain the natural position of the teeth and preserve your jaw bone and resist movement of the adjacent teeth.
Dentist or Oral Surgeon for Implant: What You Need to Know
Are you thinking about dental implants for missing teeth?
Both dentists and oral surgeons can perform implant procedures, but oral surgeons specialise in surgical aspects of the mouth, jaw, and face. Understanding the differences in their education, training, and experience can help you make the best choice for your needs and ensure the best result for your smile.
Picking the right expert to place your implants is very important for your oral health.
Dentists are the main caregivers for oral health
A general dentist is the main professional you go to for your regular dental care. They finish dental school, where they learn a lot about general dentistry. This training helps them find and treat different dental problems, like cavities and gum disease. They can also offer repairs like fillings and bridges.
Oral surgeons are specialists
They complete extra years of education and get hands-on training. This training focuses on surgical procedures for the mouth, jaw, and face. Because of this, they are well-prepared to manage the challenges of dental implant surgery. This is especially true when bone grafting or other issues need to be considered.
Specialisations and expertise in implantology
Oral and maxillofacial surgeons stand out because they focus on surgery related to the mouth, jaw, and face. Like general dentists, they start by going to dental school. After that, they undergo extra training often in a hospital residency program. This helps them sharpen their surgical skills with experienced surgeons.
The extra training gives them deep knowledge and practical experience in dental implant surgery. They deal with everything from simple implant placements to more complex situations like bone grafting, sinus lifts, and putting in implants right after tooth extractions. Oral surgeons develop great attention to detail and precise surgical techniques, which are crucial for making sure implants work well for a long time.
Their skills go beyond just doing the implant. They can also diagnose and manage possible issues, ensuring patient safety and great looks and function. When it comes to complex dental implant cases, the advanced training and experience of an oral surgeon offer comfort, knowing that your smile is cared for by a skilled expert.
Dental school and beyond: pathways to becoming an oral surgeon
The journey to become an oral and maxillofacial surgeon shows their hard work and specialised focus. After finishing dental school, these future oral surgeons spend more in-depth years training exploring and understanding the field of surgery over general dentistry.
They learn many different procedures that involve the mouth, jaw, and face. This training includes removing impacted teeth like wisdom teeth, doing corrective jaw surgery, treating facial injuries, and placing dental implants, which are very important for their work.
Their challenging years of training give them a strong understanding of the face and jaw’s detailed structure. This prepares them to handle complex cases and face surgical challenges confidently. When they finish their residency, oral surgeons are well-trained specialists ready to meet many needs related to oral health and facial appearance.
Our Specialist Oral Surgeon, Mr. Sami Stagnell, a Consultant whose expertise is complemented and supported by a dedicated implant team of experts provides patient reassurance that every aspect of dental implant treatment is managed with the utmost professionalism and clinical excellence.
